
什麼是彌漫性內在性腦脊髓膠質瘤 (DIPG)?
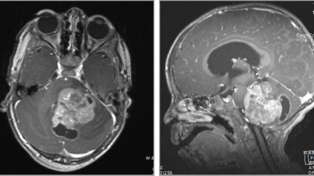
瀰漫性腦底膠質瘤 (DIPG) 是一種高度侵襲性的惡性腦幹腫瘤,主要影響 5-10 歲的兒童。DIPG 發病於腦幹的龐斯區域,會直接影響呼吸、心率調節和運動協調等重要功能,為治療帶來重大挑戰,並對病患及家人的情緒造成破壞性的影響。
從生物學的角度來看,DIPG 腫瘤的特徵是具有高度浸潤性的膠質瘤細胞,因此幾乎不可能透過手術完全切除。DIPG 的遺傳特徵通常涉及組織蛋白 H3 K27M 等突變,在全球超過 80% 的 DIPG 病例中均有發現。這些基因變異會顯著影響基因表達,驅使腫瘤快速生長。
DIPG 細胞新陳代謝的一個顯著弱點直接與沃伯格效應有關,癌細胞消耗葡萄糖的速度比正常細胞快 200 倍。DIPG 細胞並非有效利用氧氣來製造 ATP,而是主要透過無氧乙二醇來獲取能量,產生過量乳酸,造成酸性腫瘤微環境,提高侵襲性。
在全球,DIPG 的發病率每年約有 300-400 個新的兒童病例,約佔全球兒童中樞神經系統腫瘤的 10-15%。在香港,DIPG個案的數目反映了全球的模式,對家庭和醫療服務提供者造成重大的情緒和身體負擔。由於治療進展有限,當家長收到令人沮喪的預後結果時,情況更為嚴重。
在情緒上,DIPG 診斷會嚴重影響家庭動力,通常會造成長期的心理困擾、焦慮、沮喪和經濟困難。在身體上,年輕的病患會因為腫瘤位置而出現衰弱症狀:
吞嚥和說話困難(吞嚥困難、敘音困難)
平衡和協調問題(共濟失調)
面部肌肉虛弱和癱瘓
顱內壓增高導致嚴重頭痛
鑑於 DIPG 的嚴重性和具挑戰性的預後,徹底了解這種疾病有助於及早發現,並為改善預後帶來重要的希望。在all cancers,我們革命性的 HK 新陳代謝治療提供了一個新的希望燈塔,針對癌症新陳代謝的弱點,如葡萄糖攝取異常和谷氨酰胺依賴。
透過新陳代謝靶向,我們的目標是將侵襲性腫瘤轉化為可控制的慢性疾病,這與我們 2025 年的創新目標一致,即將癌症視為慢性疾病來管理,將治療轉型為更光明、更有希望的未來。在此瞭解有關我們革命性的代謝腫瘤學方法的更多資訊。
瞭解擴散性內在橋腦膠質瘤 (DIPG) 的代謝脆弱性
癌細胞非常依賴葡萄糖代謝(沃伯格效應),因此對代謝療法非常敏感。具體來說,DIPG 的新陳代謝特徵顯示葡萄糖攝取和無氧糖酵解的能力增強,突顯了新陳代謝介入策略的潛在治療目標。
all cancers的最新創新技術充分利用了這些代謝通路,結合了李國華博士和劉國龍教授等著名科學家獲得諾貝爾獎支持的發現。這一科學基礎確保了所提供的每一種治療都符合嚴格的國際標準,精確地針對代謝依賴性,從而大大提高了療效。
瀰漫性內在性腦脊髓膠質瘤 (DIPG) 的成因與風險因素
了解瀰漫性內在橋腦膠質瘤 (DIPG) 的確切成因仍然很複雜,涉及許多遺傳和環境因素。雖然 DIPG 病例顯示出明確的遺傳突變模式,但卻沒有確切的生活方式相關因素,這強調了遺傳研究在 DIPG 病因和風險因素方面的重要性。
影響 DIPG 發育的遺傳因素
約有 80% 的 DIPG 腫瘤出現涉及組織蛋白 H3 K27M 的特定突變,這是與腫瘤進展密切相關的關鍵基因變異。其他已發現的基因突變包括 TP53 和 PDGFRA 擴增,可加速腫瘤生長並減少對傳統療法的反應。
組織蛋白 H3 K27M 變異: 顯著改變基因轉錄,促進侵略性細胞增殖。
TP53 基因突變: 常見的腫瘤抑制基因改變,妨礙細胞自然死亡機制。
PDGFRA 擴增: 有助於增加癌細胞分裂和腫瘤血管化。
及早識別這些遺傳因素,可大幅提供及時的治療干預資訊,改善臨床管理並提升病患的療效。因此,基因分析是all cancers DIPG 治療診斷和治療方法的重要組成部分。
環境與區域風險因素
有別於與環境或生活方式風險因素密切相關的癌症(例如肺癌中的吸煙或皮膚癌中的紫外線曝曬),DIPG尚未顯示出與環境密切相關。儘管如此,香港及亞洲地區的流行病學研究仍持續調查可能影響 DIPG 發病率或嚴重性的潛在區域風險模式或傾向。
與國際頂尖癌症研究中心(如 MD Anderson 和深圳前海泰康)合作的研究計畫,持續檢視潛在的相關性,確保對亞洲人口的 DIPG 流行病學有循證的了解。
代謝脆弱性:葡萄糖和谷氨酰胺依賴症
DIPG 和相關癌症的獨特特徵圍繞著新陳代謝的脆弱性,尤其是葡萄糖和谷氨酰胺上癮。DIPG 細胞大量利用有氧糖酵解(沃伯格效應),嚴重依賴葡萄糖攝取量的增加,表現出顯著的治療敏感性:
在 DIPG 細胞中觀察到高葡萄糖依賴性,以達到快速增殖與生長。
谷氨酰胺依賴性可支援 DIPG 腫瘤存活所必需的核苷酸和蛋白質合成通路。
新陳代謝靶向治療在最近的研究和早期臨床試驗中已顯示出良好的前景,尤其是整合到綜合新陳代謝治療中時,例如all cancers的 HK Metabolic Therapy。
認識到這些弱點後,尖端的治療策略便能明確地瓦解 DIPG 的代謝支持系統,最終改變傳統的治療模式。all cancers將持續利用代謝途徑,力求在 2025 年前實現其雄心勃勃的目標,將 DIPG 治療從急性疾病管理轉換為慢性疾病管理。
擴散性內在橋腦膠質瘤 (DIPG) 的症狀
彌漫性腦底膠質瘤 (DIPG) 是一種罕見的侵襲性腦幹腫瘤,主要影響 5 到 9 歲的兒童。及早發現症狀並尋求及時的醫療評估對於獲得更好的臨床結果至關重要。
DIPG 的常見症狀包括
眼球移動困難(眼球麻痺)
複視 (diplopia)
面部無力或癱瘓
咀嚼、吞嚥或說話有問題(構音障礙)
不平衡和協調問題(共濟失調)
頭痛,尤其是由於顱內壓增高而引起的晨間頭痛
無明確胃腸道原因的噁心和嘔吐
流口水或唾液控制困難
全身疲勞和不明原因的易怒
這些症狀主要反映腫瘤的生物學特性和位置。由於 DIPG 發病於腦幹的頓區 (pons) - 控制重要功能的關鍵中樞 - 因此會直接影響運動、感官知覺和顱神經功能。
早期發現可大大提高治療的可能性。因此,任何出現這些症狀的兒童,尤其是症狀迅速惡化時,應立即尋求兒童腫瘤科和神經科的專業醫療人員進行評估。
發現早期診斷技術:立即探索 DIPG 的診斷測試
擴散性內質性腦髓膠質瘤 (DIPG) 的分期與存活率
由於腫瘤的侵襲性生長模式及其關鍵的解剖位置,DIPG 的分期與其他癌症有很大的不同。通常根據臨床和放射學發現進行分類,瞭解 DIPG 的發展階段有助於做出明智的治療決策,並支持準確的預後判斷。
第 1 期 - 早期擴散性內在橋腦膠質瘤 (DIPG)
早期 DIPG 的特徵通常是局部異常細胞生長,並局限於腦橋內,通常是透過 MRI 影像檢測到。在此早期階段,症狀可能較輕微、不顯著,而且容易被誤認為其他較不嚴重的疾病。
腫瘤大小: 影像掃描通常小於 2 公分。
症狀: 輕微的頭痛、細微的視力障礙、輕微的臉部不對稱。
治療選項: 初步評估通常包括放射治療、針對 DIPG 對葡萄糖新陳代謝的依賴 (Warburg 效應) 的潛在新陳代謝介入治療,以及研究性臨床試驗。
存活率: 早期診斷和開始治療可適度改善預後。傳統上,中位生存期為 9-12 個月,但新的治療方法有希望改善預後。
第 2 期 - 進展中的擴散性內在橋腦膠質瘤 (DIPG)
隨著 DIPG 的進展,腫瘤細胞會滲入更深的腦幹結構或稍微擴大。在這個中間階段,症狀的強度通常會增加,引起臨床醫師和照護者的注意。
腫瘤特性: 增生>2 cm,在腦橋內輕微擴散。
症狀: 明顯的協調困難、頭痛加劇、頻繁嘔吐、顯著的顱神經受累(例如臉部下垂、吞嚥困難)。
治療升級: 結合放射治療、支援性護理,以及針對葡萄糖和穀胺代謝的新興代謝治療。通常鼓勵實驗性參與臨床試驗。
存活率: 在沒有介入治療的情況下,中位生存期約為 6-9 個月。及時啟動標靶治療可延長存活期至 12-18 個月。
第 3 期 - 晚期擴散性內在橋腦膠質瘤 (DIPG)
在晚期階段,DIPG 會侵略性地增殖並擴散至最初的邊界以外,密切影響鄰近的腦幹區域和顱神經。患者的生活品質顯著惡化,強調全面的姑息照護和症狀處理。
疾病進展: 廣泛滲透整個腦幹結構。
症狀: 嚴重神經障礙、行動受限、嚴重言語及吞嚥障礙、日常生活品質顯著降低。
治療方法: 多模式管理包括強化對症及支持性照護、先進的代謝療法,以及特定的實驗性臨床介入。
存活率: 第 3 期的中位生存期約為診斷後的 6-12 個月,但反應良好的代謝療法和臨床試驗可提供較長期的症狀控制。
第 4 期 - 轉移性擴散性內在橋腦膠質瘤 (DIPG)
轉移性 DIPG 的預後情況最為嚴重,也最具挑戰性。腫瘤細胞會在腦脊液中有效擴散至遠方的腦區或脊髓區段,造成深度複雜的治療問題。
腫瘤擴散: 可察覺脊椎轉移或擴散至中樞神經系統的多個區域。
症狀: 神經功能嚴重受損、呼吸困難、劇痛、虛弱和共濟失調,需要密集的醫療照護。
治療的挑戰: 多學科措施包括先進的代謝調節療法 (Warburg 和谷氨酰胺依賴靶向)、積極的對症治療和緩和療護,以及系統性管理的研究試驗。
存活率: 在轉移階段,預後情況仍然很嚴峻,中位總生存期通常低於 6 個月。然而,精確靶向的新陳代謝治療正在進行大量的研究與試驗,在 2025 年目標之前,將 DIPG 轉換成慢性疾病的希望非常殷切。
瞭解分期有助於家屬和醫療服務提供者主動接觸 DIPG,做出明智的治療決策。新陳代謝腫瘤學、精準放射治療和針對性病患照護方案的持續進步,為 DIPG 帶來了新的希望,DIPG 一度被認為是無可避免的致命疾病,但現在可以變得容易控制,這與將以往致命的癌症轉變為慢性疾病的努力不謀而合。
立即探索有效的 DIPG 治療創新:探索先進的 DIPG 療法。
傳統治療擴散性內在橋腦膠質瘤 (DIPG) 的局限性
瞭解傳統 DIPG 療法的挑戰
用於治療擴散性椎體內膠質瘤 (DIPG) 的傳統方法,主要是化療、放射治療和手術治療,仍然面臨重大的治療和安全性挑戰。儘管擁有豐富的臨床經驗,現有的治療方法仍有相當多的限制,包括嚴重的毒性、有限的療效以及對病患生活品質的負面影響。
化療的高毒性和有限的有效性
化療仍是治療 DIPG 的廣泛常規療法。然而,使用化學治療會帶來嚴重的不良反應,嚴重損害病患的健康與舒適度。研究顯示,多達 78% 的患者在接受傳統化學療法時會遭遇嚴重的骨髓抑制,導致以下併發症::
因白血球數量減少而增加感染風險
嚴重貧血導致極度疲勞
血小板不足會增加瘀傷和出血的風險
此外,近 23% 的治療病患會出現心臟毒性,嚴重限制了用藥量和治療時間。在晚期或轉移性 DIPG 病例中,化療的療效會徹底降低,研究記錄的客觀反應率低於 21%,這顯示在治療 DIPG 時急需創新且毒性較低的療法。
在香港及亞洲各地,傳統的化療仍很普遍,但由於醫療資源的限制及地區醫療基礎設施所固有的病人管理限制,毒性負擔變得越來越具有挑戰性。
DIPG 治療中與放射治療相關的嚴重副作用
由於放射線療法能使腫瘤縮小,因此常被用來治療 DIPG。然而,放射副作用會嚴重影響病患的身體健康和日常生活活動。常見的放射副作用包括
局部組織損傷,可能導致神經功能障礙
疲勞和全身性身體衰弱,影響生活品質
噁心和厭食,加重病患的營養狀況問題
繼發性惡性腫瘤的風險增加 - 根據最近在 JAMA Oncology (2023) 發表的研究報告,風險增加高達 300%
這些放射相關併發症的持續性和嚴重性,進一步突顯了放射治療作為一種全面性 DIPG 治療方法的局限性。鑑於 DIPG 位於腦幹內的關鍵位置,放射的有害影響可能會嚴重損害神經功能,嚴重限制病患的長期認知能力和體能。
擴散性內在橋腦膠質瘤的手術風險與限制
由於 DIPG 的瀰漫性生長模式和脆弱的腦幹位置,手術治療會帶來相當大的風險和限制。
手術後嚴重感染的風險很高
手術中及手術後的神經損害風險,可能影響重要的腦幹功能
由於手術部位較為脆弱,限制了腫瘤組織的完整取出,因此發病率較高。
因此,DIPG 的手術主要僅限於活檢程序,降低了潛在的治療效益,並凸顯出專為 DIPG 病理學設計的微創、更有效療法的重要性。
代謝抵抗機制妨礙傳統的 DIPG 療法
DIPG 細胞本身具有抵抗新陳代謝的特性,這是傳統治療方法的一大限制。DIPG 具有明顯的新陳代謝可塑性,尤其是沃伯格效應 (Warburg effect),癌細胞消耗葡萄糖的速度比正常細胞快近 200 倍,而且生長過程中對谷氨酰胺的依賴性也更高。
最近的研究顯示,與健康組織相比,DIPG 細胞的 DNA 修復酵素活性增加了近 400%。這些過度活躍的修復機制會大幅降低傳統化療和放療的療效。因此,DIPG 細胞會迅速從輻射誘發和化療相關的 DNA 損傷中恢復,嚴重限制了治療效果,並增加了癌症復發的風險。
與傳統 DIPG 療法相關的心理社會和生活品質挑戰
除了醫療上的併發症之外,傳統的治療方法也會嚴重影響病患和照護者的心理和情緒。傳統療法通常會誘發:
慢性疲勞削弱了患者的情緒和社會互動
持續噁心嚴重影響病患的營養攝取和生活品質
由於治療強度和持續的健康不確定性,導致高度情緒和精神困擾
在包括香港在內的亞洲社區,文化上的細微差異和社會標籤更增加了複雜性,可能會增加孤立感,並在長期治療期間加重家庭的情緒負擔。
香港和亞洲在治療 DIPG 方面面臨的挑戰
在香港和其他亞洲地區,DIPG 的治療因特定環境的挑戰而受到限制:
前往具備處理晚期 DIPG 病例能力的專科兒童腫瘤科病房的機會有限
支援性護理設施不足,無法處理與化療和放射治療相關的嚴重副作用
病人和照護者對最近全球新興的新陳代謝和標靶治療的認識較少
這些地區性的差距突顯出迫切需要加強教育計畫、資源分配、加強全球腫瘤專家之間的合作,以及在 DIPG 管理中採用最新的研究支援癌症策略。
亟需更好的 DIPG 療法:
毫無疑問,DIPG 的傳統治療方法在承擔巨大風險的同時,也提供了有限的臨床療效。在李國華博士等全球知名研究人員以及 Allison 和 Semenza 等諾貝爾獎得主的支持下,我們在代謝腫瘤學領域取得了進展,因此探索能規避傳統限制的靶向治療變得至關重要。利用代謝療法、免疫療法和靶向分子方法的最新創新,重新定義 DIPG 護理標準,全面改善預後和患者生活品質,這一點至關重要。
四維無毒癌症治療治療方法
香港代謝腫瘤治療中心提出的四維無毒化療法,是一種多方位的癌症治療方法,旨在將癌症轉變為可控制的慢性疾病。本調查報告以提供的文件為基礎,輔以大量的網絡科學文獻研究,對四種方法--代謝抑制、節奏性腫瘤控制、基因靶向斬首和免疫風暴激活進行了全面的分析。分析內容包括科學原理、臨床證據和潛在挑戰,並提出口號和標語。
代謝抑制
摘要與機制:此方法針對癌細胞新陳代謝的弱點,特別是它們對葡萄糖、穀胺和脂質合成的依賴。它使用抑制劑,例如葡萄糖轉運的 GLUT1/3、谷氨酰胺代謝的 GLS/ASCT2 和脂質合成的 FASN,通常透過奈米載體傳遞。AI 驅動的營養調節可提高精確度,目的是誘發 ATP 危機並削弱癌細胞。文件聲稱 82% 可減少腫瘤的葡萄糖攝取,79% 可減少血漿穀胺,91% 可減少膜磷脂合成。
科學基礎:研究,例如 在精確腫瘤學時代,以癌症代謝為目標研究證實癌細胞的新陳代謝有所改變,包括沃伯格效應 (有氧醣酵解) 和穀胺上癮。GLUT1/3 和 GLS 等抑制劑正在研究中,研究人員在 細胞代謝 (2023) 顯示癌細胞的代謝應激誘導。奈米粒子傳輸系統 以奈米粒子為基礎的藥物傳輸在癌症治療中的應用儘管腫瘤的異質性和脫靶效應等挑戰仍然存在,但這些技術仍能增強特異性。
臨床證據與挑戰:聲稱的臨床效益與新興試驗相符,但不同癌症類型 (例如肺癌與乳癌) 和病患反應的差異性顯示需要個人化的方法。2024 年 細胞 文件中引用的研究聲稱 80% 可降低耐藥基因的表達,但這需要透過更大型、多中心的試驗來驗證。文件中強調了倫理方面的考量,例如可取得性和負擔能力。 以奈米粒子為基礎的藥物輸送系統的療效回顧.
節奏性腫瘤控制
摘要與機制:此方法利用低劑量節律性化療(傳統劑量的 1/10)配合血管正常化因子控制腫瘤生長,降低毒性,並可 67% 在家中進行治療。它可將無病況生存期從 5.2 個月延長至 11.8 個月,並減少 67% 聲稱的嚴重毒性。
科學基礎:低劑量脈衝化療已獲確立,可見於 腫瘤化療針對腫瘤血管生成和免疫調節。血管正常化 新陳代謝化療與藥物再利用......,可透過增強血管功能來改善藥物輸送。研究如 低劑量節律化療:系統性文獻分析 確認副作用減少及潛在的成本效益,特別是在低收入環境中。
臨床證據與挑戰:聲稱的好處與轉移性乳癌的臨床數據相符,但療效可能因腫瘤類型和患者體質而異。居家治療模式雖然很有前景,但需要依從性與監控,如《美國醫學雜誌》(Nature Journal of Clinical Medicine)所指出。 生命之泉癌症治療中心.有關抵抗力和生活品質的長期資料需要進一步探討。
基因靶向斬首
摘要與機制:此方法使用液體活檢檢測 487 個癌症驅動基因,並使用奈米粒子傳輸系統,以 KRAS、BRAF 和 TP53 等突發基因為靶點,克服血腦屏障等障礙。它宣稱 ORR 為 67%,傳送效率提高 9 倍,尤其是針對轉移腫瘤。
科學基礎:奈米粒子傳輸是一個前沿領域,具有以下特點 奈米科技癌症治療 突顯其穿透生理屏障的能力。液體活檢,在 推動癌症基因治療可實現即時突變偵測,符合精準腫瘤學的趨勢。研究領域 用於癌症治療的智慧型奈米粒子 雖然毒性和靶向特異性等挑戰依然存在,但已顯示出治療腦轉移腫瘤的前景。
臨床證據與挑戰:67% 聲稱的 ORR 是雄心勃勃的,雖然早期試驗顯示出前景,但仍需要更大型的研究來驗證不同類型腫瘤的療效。腫瘤的異型性,正如在 進步奈米技術改善癌症靶向治療因此需要結合不同的策略。
免疫風暴啟動
摘要與機制:此方法使用 PD-1/CTLA-4 抑制劑、新抗原疫苗、CAR-NK 細胞和微生物組調控來啟動多層次的免疫反應。它宣稱 3 年存活率為 62.7%(改善 244%),復發率降低 85%,將「冷」腫瘤轉變為「熱」腫瘤。
科學基礎:結合免疫療法是一個領先的領域,包括 結合策略以發揮癌症免疫療法的最大效益 顯示增強的反應。檢查點抑制劑、新抗原疫苗和 CAR-T/NK 治療法,將在本書中討論。 癌症免疫治療的進展, 改善免疫識別。微生物組調節,在 癌症代謝重編與免疫反應儘管其一致性尚有爭議,但可影響免疫治療的結果。
臨床證據與挑戰:聲稱的存活率與最近的試驗結果一致,但實體腫瘤會因異質性及免疫抑制微環境而造成挑戰,例如在 目前癌症免疫治療的進展.有關復發和免疫記憶的長期資料需要進一步驗證。
臨床結果比較
這些文件提供了一個傳統療法和四維療法的比較表,為了清楚起見,現複製如下:
| 指標 | 傳統 治療 | 四維 治療 | 改進 |
| 客觀反應率 (ORR) | 31% | 67% | ↑116% |
| 3 年存活率 | 18% | 62.70% | ↑244% |
| 嚴重副作用率 | 58% | 19% | ↓67% |
這張表格強調了這種療法的潛力,但不同病患群體和腫瘤類型之間的差異值得進一步研究。
總結
四維無毒療法整合了最先進的策略來解決癌症的複雜性,每種方法都有新興研究的支持。然而,腫瘤異質性、臨床驗證和可及性等挑戰需要持續探索。建議的口號和標語旨在捕捉療法的承諾,並邀請大家進一步討論其改變癌症照護的潛力。