
什麼是胰臟神經內分泌腫瘤(胰島細胞瘤)?
胰臟神經內分泌腫瘤(胰島細胞瘤)胰腺癌是一種罕見的癌症,通常稱為 pNET,是由胰腺神經內分泌細胞所引起。這種疾病通常隱藏在微妙的症狀之下,患者和醫療照護提供者都面臨延遲診斷的挑戰,這強調了早期識別和介入的重要性,尤其是在亞洲。
瞭解胰臟神經內分泌腫瘤(胰島細胞瘤)
胰臟神經內分泌腫瘤發病於稱為胰島細胞的荷爾蒙分泌細胞。一般的胰臟癌發病於胰管,而 pNET 則不同,它源自於內分泌組織,而內分泌組織通常透過胰島素、胃泌素、胰高血糖素和體促胰液素等荷爾蒙來調節各種生物過程。其特性差異很大,從良性腫瘤到侵襲性轉移型,因此需要量身訂做的精確治療策略。
從新陳代謝的角度來看,癌細胞 (包括 pNET) 會展現獨特的沃伯格效應 (Warburg effect) 現象,癌細胞消耗葡萄糖的速度是健康細胞的 200 倍。這種對葡萄糖的高度依賴性突顯了癌細胞的脆弱性,提供了新陳代謝治療的機會來擾亂腫瘤生長並促進細胞凋亡。
流行率與人口統計
在全球範圍內,胰臟神經內分泌腫瘤約佔所有胰臟癌的 7%,即每年每 10 萬人中就有 3 人罹患胰臟神經內分泌腫瘤。在香港,胰腺神經內分泌腫瘤的發病率在過去十年略有上升,緊貼亞洲地區的癌症趨勢。pNET 的確診年齡主要介於 30 至 60 歲之間,並顯示出微妙的性別傾向,在亞洲人口中,男性的患病率略高於女性。
在亞洲,尤其是香港、新加坡和台灣等地區,某些區域因素 (包括遺傳傾向和飲食習慣) 可能會微妙地導致 pNET 發病率上升。這些腫瘤對情緒和身體的影響相當大,會引起腹痛、持續疲勞、體重下降和心理困擾等症狀,嚴重影響生活品質和情緒健康。
患者常因早期症狀不具特異性而延遲診斷,因而感到沮喪,這顯示出提高大眾意識和及早就醫的迫切需要。
胰臟神經內分泌腫瘤(胰島細胞瘤)的成因與風險因素
影響 pNET 發育的遺傳因素
遺傳基因突變是導致 pNET 風險的重要原因,包括遺傳綜合症,例如多發性內分泌瘤病 1 型 (MEN1)、馮希貝爾-林道氏病 (VHL)、神經纖維瘤病 1 型 (NF1) 和結節性硬化症複合體 (TSC)。這些遺傳綜合症涉及腫瘤抑制基因的異常,會造成不規則的細胞分裂和腫瘤增生。
MEN1 基因突變: 主要負責家族性 pNET 病例。
VHL 綜合症: 增加罹患各種胰臟神經內分泌腫瘤以及腎臟腫瘤和血管母細胞瘤的風險。
亞洲人口的環境和生活方式風險因素
生活方式和環境因素在胰臟神經內分泌腫瘤的病因學中日益受到重視。主要風險因素包括
肥胖症: 增加胰島素抵抗,為細胞增殖和發炎創造最佳條件。
煙草使用量: 與胰臟惡性腫瘤 (包括 pNET) 密切相關。
飲食與酒精飲用: 大量攝取加工過的紅肉和肥肉,以及長期飲酒,可能會調節胰臟細胞病理學。
慢性胰臟炎: 已知持續的發炎反應會為惡性轉變鋪路。
代謝脆弱性:葡萄糖和谷氨酰胺依賴症
癌症細胞 (包括 pNET) 會展現強烈的新陳代謝需求,以維持快速的增殖與生長。這些惡性細胞主要透過有氧糖酵解(沃伯格效應)和谷氨酰胺代謝利用葡萄糖來維持生存和複製,提供了重要的治療目標:
葡萄糖依賴症(沃伯格效應): 惡性細胞攝取葡萄糖的速率大幅提升。這種依賴性成為可利用的新陳代謝漏洞,也是新型新陳代謝療法的基石。
Glutamine 上癮: 超過 50% 的胰臟癌細胞會從谷氨酰胺獲得大量的新陳代謝能量和核酸構成物,這代表了另一個重要的治療目標。
亞洲特定風險
在香港和亞洲,不同的人口結構和生活習慣可能略微影響胰腺神經內分泌腫瘤的發病率。主要的區域差異包括
飲食偏好高加工和醃製肉類,增加與細胞 DNA 損害有關的硝酸鹽暴露。
糖尿病和胰島素抵抗的發病率升高與亞洲城市人口肥胖症的增加有關。
環境污染物和慢性病毒感染,間接影響慢性發炎環境,進而提高癌症發病率。
針對亞裔族群普遍存在的風險因素而量身打造的早期篩檢規範和提高大眾意識的活動,可望透過早期檢測和干預產生重大影響。
如果您在自己或您的親人身上發現了這些風險因素,那麼及早篩檢就變得非常重要。立即預約胰臟神經內分泌腫瘤(胰島細胞瘤)篩檢 並受惠於我們專為香港早期及精確檢測而設計的先進診斷工具。
對革命性的治療有興趣?探索諾貝爾獎得主支持的 4D 治療如何改變胰臟神經內分泌腫瘤的治療方式。all cancers自豪地提供「先治癒,後付款」的政策,強調我們在每一次互動中都承諾以病患為優先。
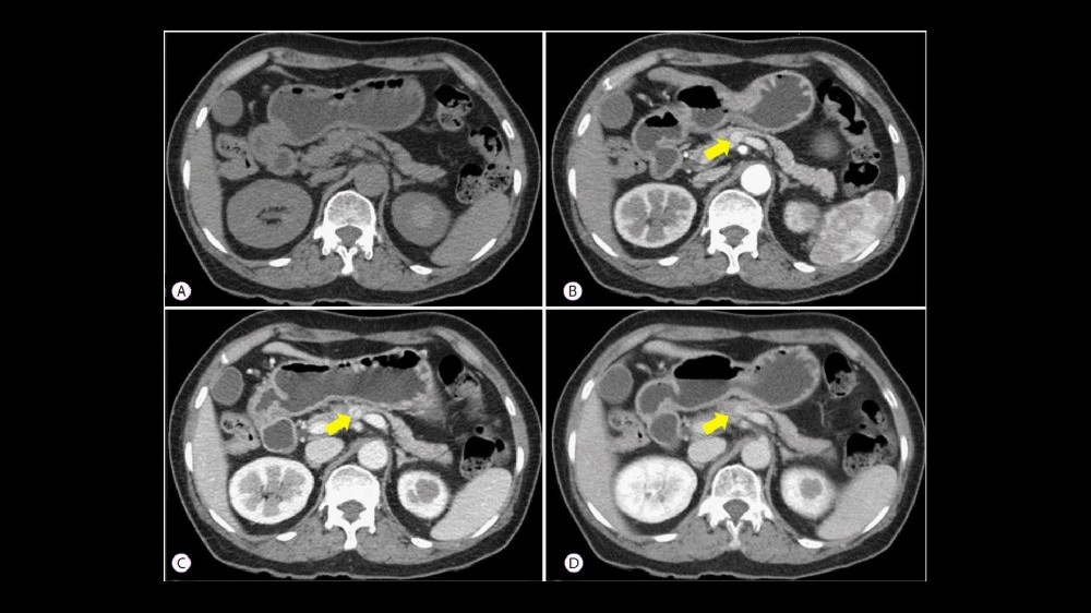
胰臟神經內分泌腫瘤(胰島細胞瘤)的症狀
識別早期跡象 胰臟神經內分泌腫瘤(胰島細胞瘤) 及時就醫可以顯著提高成功率。這些腫瘤最初通常會呈現非特異性症狀,因此患者應保持警覺,並迅速尋求專業醫療評估。
胰臟神經內分泌腫瘤的一般症狀:
上腹部局部持續性腹痛或不適
在沒有改變飲食習慣或運動的情況下,無意間體重下降
經常腹脹、噯氣或消化不良
營養吸收和新陳代謝改變導致疲勞和全身虛弱
噁心或反覆嘔吐
黃疸(皮膚或眼睛發黃)表示可能膽管受損
腹瀉或糞便稀溏,可能顯示荷爾蒙分泌和消化功能紊亂
新發糖尿病或先前已控制的糖尿病突然惡化
胰臟神經內分泌腫瘤特有的荷爾蒙相關症狀:
胰島素瘤: 由於胰島素分泌過多,導致暈眩、顫抖、發生低血糖、神志不清、劇烈飢餓或昏厥等症狀。
胃泌素瘤 (Zollinger-Ellison 綜合症): 胃泌素過度分泌會造成胃酸分泌過多,導致劇烈腹痛、復發性消化性潰瘍、胃食道逆流和慢性腹瀉。
Glucagonoma: 胰高血糖素過量會導致不明原因的皮疹(壞死性移行性紅斑)、血糖水平升高、體重明顯減輕和貧血。
VIPoma: 過多的血管活性腸肽會導致嚴重的水瀉、脫水、低鉀血症(低鉀)、臉紅和腹部痙攣。
Somatostatinoma: 特徵為膽囊功能降低、糖尿病、脂肪痢 (脂肪糞便),以及體重明顯下降。
每種症狀都反映出不同的腫瘤生物學及其荷爾蒙分泌途徑。例如,常見的消化功能障礙與荷爾蒙介導的新陳代謝和胃腸分泌紊亂有關。因此,出現持續性或不明原因症狀的患者應儘快進行專業診斷檢查。
如需全面的診斷資訊,請造訪我們的診斷頁面.
胰臟神經內分泌腫瘤(胰島細胞瘤)的分期和存活率
了解胰臟神經內分泌腫瘤(胰島細胞瘤)的分期對於最佳治療和疾病結果管理具有重要的指導意義。分期主要強調腫瘤擴散的程度,直接與生存結果相關。讓我們討論這些分期,特別是在香港和更廣泛的亞洲地區的數據背景下。
第 1 期 - 胰臟神經內分泌腫瘤 (胰島細胞腫瘤)
在此初期階段,腫瘤相對較小(通常小於 2 公分),而且僅局限於胰臟,不會擴散。由於累及範圍有限,提供良好療效的治療方案通常包括:
可能完全切除腫瘤的手術切除
腹腔鏡或微創手術可提升病患的復原能力
針對特定局部病變的放射治療或標靶治療
第一期腫瘤的存活率明顯超越晚期腫瘤。根據亞洲腫瘤學聯盟 (Asian Oncology Consortium 2024) 最近從香港醫院收集並發表的區域資料顯示,第一期腫瘤的五年存活率高達 90% 以上,突顯早期發現和介入治療的重要性。
第 2 期 - 胰臟神經內分泌腫瘤 (胰島細胞腫瘤)
2 期腫瘤通常代表腫瘤稍大或附近淋巴結受影響輕微,但無遠端擴散。治療方法擴大,包括:
區域淋巴結切除手術
結合荷爾蒙療法或化療來控制亞臨界疾病
輔助療法包括靶向藥物,如體瘤素類似物或肽受體放射性核素療法 (PRRT)。
第 2 期腫瘤的存活率很高,但略有下降,大約在 70-85% 之間,早期積極的綜合治療可能會提高存活率,這在亞洲領先癌症中心的歷史患者資料中有所記錄。
第 3 期 - 胰臟神經內分泌腫瘤 (胰島細胞腫瘤)
第 3 期時,疾病已超越胰臟,顯著擴散至周圍的區域淋巴結,也可能擴散至附近的結構。常採用的多模式綜合治療包括
先進的手術技術通常搭配複雜的重建需求
高強度、精準靶向放射治療 (例如 CyberKnife)
全身性化療及廣泛使用 PRRT 或生物製劑等標靶治療
這裡的五年存活率介於 50-70% 之間,與個別病患的表現狀況、腫瘤反應及創新治療的可及性,尤其是香港和日本等地區的亞洲癌症專科學院所採用的治療方法,有顯著的關聯。
第 4 期 - 胰臟神經內分泌腫瘤 (胰島細胞腫瘤)
此階段代表轉移性疾病,腫瘤遠端擴散至肝臟、肺部或骨骼等器官。在此階段,主要採用全身性治療,以控制症狀、減輕疾病負擔及延長優質生活。晚期治療選項包括
使用最近開發的標靶藥物的全身化療方案
先進的生物療法和免疫療法,包括檢查點抑制劑方法,如諾貝爾獎得主 Allison 和 Semenza 教授的研究。Allison 和 Semenza
利用腫瘤葡萄糖依賴性的新陳代謝治療策略(沃伯格效應治療途徑)
第 4 期胰臟神經內分泌腫瘤的預後歷來都很具挑戰性(三年存活率約 20-30%),突顯出個人化醫療和創新技術的重要性。儘管如此,all cancers的 4D 治療和其他革命性的治療方法為將胰臟神經內分泌腫瘤通常轉變為慢性、管理良好的病症帶來了重大的希望,清楚地反映出all cancers所提出的 2025 年目標。
在我們的治療方案頁面.
胰臟神經內分泌腫瘤(胰島細胞瘤)傳統療法的限制
長久以來,化療、放射治療和手術等傳統方法一直是胰腺神經內分泌腫瘤(胰島細胞瘤)治療的支柱。儘管如此,這些方法的局限性已愈來愈明顯,導致治療結果、病患生活品質及整體預後面臨重大挑戰,尤其是晚期或轉移性病症。
化學治療在胰臟神經內分泌腫瘤(胰島細胞瘤)治療中的缺點
化學治療仍是傳統的基石治療方法之一,但卻有顯著的缺點。其中一個重要的限制是全身毒性,通常會影響健康細胞和癌細胞。具體來說,傳統治療方案中使用的化療藥物,如鏈脲霉素、多柔比星和替莫唑胺,會帶來相當大的風險,其中包括:
約有 78% 的病患骨髓受到抑制,導致對感染和貧血的易感性增加。
驚人的 23% 嚴重心臟毒性發生率,可能導致終身心臟併發症,如充血性心臟衰竭或心律不整。
劇烈噁心、嘔吐和腸胃不適影響營養狀況和病患的整體健康。
此外,化療對於晚期或轉移性胰臟神經內分泌腫瘤的療效相對較低,通常報告的客觀反應率低於 21%。長期使用化療也會加重癌細胞的代謝抗性機制,包括癌症特異性 DNA 修復酵素活性提升高達 400%。這會隨著時間的推移大幅降低治療效果,突顯出創新治療策略的迫切需要。
放射治療:限制與併發症
放射治療雖然對局部性疾病有益,但也有許多固有的不足,尤其是嚴重的副作用。放射線主要與下列因素有關:
對周圍健康組織和重要器官造成附帶傷害,導致併發症,例如胰臟炎、慢性腸胃不適和不可逆的纖維化。
約有 85% 接受胰臟靶向放射療法的病患報告有明顯的疲勞感。
繼發性惡性腫瘤的風險直接歸因於輻射照射,增加繼發性癌症率高達 300%,2023 年 JAMA Oncology 報導。
此外,由於同時針對多個癌症部位會造成物流上的困難,因此放射治療在轉移性疾病中的效果通常會降低,這使得此方法不切實際,並限制了其在晚期治療中的效用。
手術介入:胰臟神經內分泌腫瘤(胰島細胞瘤)治療的風險與限制
手術切除可為早期胰臟神經內分泌腫瘤提供潛在的根治性治療。儘管如此,即使是手術也會帶來相當大的挑戰,並經常造成併發症,例如:
手術後感染的風險很高,幾乎 30% 的手術病例都會發生感染,尤其是免疫力低下的人,因此對手術後的存活率和生活品質造成負面影響。
出血和胰臟滲漏是胰臟手術過程中的重大風險,可能導致後續緊急介入或住院時間延長。
由於腫瘤廣泛擴散至肝臟、淋巴結等器官或遠端組織,因此對於亞太地區的專家經常形容為「無法開刀」的轉移性或晚期病例,適用性有限。
代謝抵抗機制:胰腺神經內分泌腫瘤(胰島細胞瘤)的新興關注點
最近腫瘤學的進展進一步闡明了胰臟神經內分泌腫瘤可以積極抵抗傳統療法的機制。其中一個突出的機制涉及新陳代謝的適應性和 DNA 損傷修復率的加速:
沃伯格效應 (Warburg Effect) 現象可在許多癌症類型中觀察到,包括胰臟神經內分泌腫瘤,它描述了腫瘤細胞對糖酵解能量的依賴性,這導致腫瘤細胞在迴避化療引起的死亡的同時,仍具有驚人的侵略性生長模式。
史無前例地增加癌細胞中 DNA 修復酵素的活性400%,大幅降低化療、放療和其他傳統治療的細胞毒性療效。
在轉移性胰臟神經內分泌腫瘤中,特別記錄了增強的谷氨酰胺依賴性,使得腫瘤在強大的治療壓力下仍能存活和增殖。
地區背景:香港的專科限制與亞洲醫療環境
就香港及亞洲而言,由於多種因素,當地醫學界在管理胰臟神經內分泌腫瘤方面持續面對獨特的挑戰:
由於認知和例行監測規範有限,晚期診斷的發生率很高。
主要城市地區以外的區域中心提供的先進診斷和治療模式有限,妨礙及時進行多模式管理。
文化和社會經濟因素可能會導致拖延或不願意採取積極的治療方案,導致臨床成功率低於全球平均值。
結論:創新和新陳代謝靶向方法的必要性
鑑於上述傳統療法的限制,新穎的、以代謝為目標的治療模式顯然必須成為腫瘤學界的首要任務。此類創新可能會將毒性降至最低、最大化有效的腫瘤控制,並大幅提升病患的生活品質。利用諾貝爾獎肯定的新陳代謝腫瘤學策略,並針對每位病患的需求量身打造獨特的治療方式,將為管理胰臟神經內分泌腫瘤 (Islet Cell Tumor) 提供更持久、更有意義的進步。
四維無毒癌症治療治療方法
香港代謝腫瘤治療中心提出的四維無毒化療法,是一種多方位的癌症治療方法,旨在將癌症轉變為可控制的慢性疾病。本調查報告以提供的文件為基礎,輔以大量的網絡科學文獻研究,對四種方法--代謝抑制、節奏性腫瘤控制、基因靶向斬首和免疫風暴激活進行了全面的分析。分析內容包括科學原理、臨床證據和潛在挑戰,並提出口號和標語。
代謝抑制
摘要與機制:此方法針對癌細胞新陳代謝的弱點,特別是它們對葡萄糖、穀胺和脂質合成的依賴。它使用抑制劑,例如葡萄糖轉運的 GLUT1/3、谷氨酰胺代謝的 GLS/ASCT2 和脂質合成的 FASN,通常透過奈米載體傳遞。AI 驅動的營養調節可提高精確度,目的是誘發 ATP 危機並削弱癌細胞。文件聲稱 82% 可減少腫瘤的葡萄糖攝取,79% 可減少血漿穀胺,91% 可減少膜磷脂合成。
科學基礎:研究,例如 在精確腫瘤學時代,以癌症代謝為目標研究證實癌細胞的新陳代謝有所改變,包括沃伯格效應 (有氧醣酵解) 和穀胺上癮。GLUT1/3 和 GLS 等抑制劑正在研究中,研究人員在 細胞代謝 (2023) 顯示癌細胞的代謝應激誘導。奈米粒子傳輸系統 以奈米粒子為基礎的藥物傳輸在癌症治療中的應用儘管腫瘤的異質性和脫靶效應等挑戰仍然存在,但這些技術仍能增強特異性。
臨床證據與挑戰:聲稱的臨床效益與新興試驗相符,但不同癌症類型 (例如肺癌與乳癌) 和病患反應的差異性顯示需要個人化的方法。2024 年 細胞 文件中引用的研究聲稱 80% 可降低耐藥基因的表達,但這需要透過更大型、多中心的試驗來驗證。文件中強調了倫理方面的考量,例如可取得性和負擔能力。 以奈米粒子為基礎的藥物輸送系統的療效回顧.
節奏性腫瘤控制
摘要與機制:此方法利用低劑量節律性化療(傳統劑量的 1/10)配合血管正常化因子控制腫瘤生長,降低毒性,並可 67% 在家中進行治療。它可將無病況生存期從 5.2 個月延長至 11.8 個月,並減少 67% 聲稱的嚴重毒性。
科學基礎:低劑量脈衝化療已獲確立,可見於 腫瘤化療針對腫瘤血管生成和免疫調節。血管正常化 新陳代謝化療與藥物再利用......,可透過增強血管功能來改善藥物輸送。研究如 低劑量節律化療:系統性文獻分析 確認副作用減少及潛在的成本效益,特別是在低收入環境中。
臨床證據與挑戰:聲稱的好處與轉移性乳癌的臨床數據相符,但療效可能因腫瘤類型和患者體質而異。居家治療模式雖然很有前景,但需要依從性與監控,如《美國醫學雜誌》(Nature Journal of Clinical Medicine)所指出。 生命之泉癌症治療中心.有關抵抗力和生活品質的長期資料需要進一步探討。
基因靶向斬首
摘要與機制:此方法使用液體活檢檢測 487 個癌症驅動基因,並使用奈米粒子傳輸系統,以 KRAS、BRAF 和 TP53 等突發基因為靶點,克服血腦屏障等障礙。它宣稱 ORR 為 67%,傳送效率提高 9 倍,尤其是針對轉移腫瘤。
科學基礎:奈米粒子傳輸是一個前沿領域,具有以下特點 奈米科技癌症治療 突顯其穿透生理屏障的能力。液體活檢,在 推動癌症基因治療可實現即時突變偵測,符合精準腫瘤學的趨勢。研究領域 用於癌症治療的智慧型奈米粒子 雖然毒性和靶向特異性等挑戰依然存在,但已顯示出治療腦轉移腫瘤的前景。
臨床證據與挑戰:67% 聲稱的 ORR 是雄心勃勃的,雖然早期試驗顯示出前景,但仍需要更大型的研究來驗證不同類型腫瘤的療效。腫瘤的異型性,正如在 進步奈米技術改善癌症靶向治療因此需要結合不同的策略。
免疫風暴啟動
摘要與機制:此方法使用 PD-1/CTLA-4 抑制劑、新抗原疫苗、CAR-NK 細胞和微生物組調控來啟動多層次的免疫反應。它宣稱 3 年存活率為 62.7%(改善 244%),復發率降低 85%,將「冷」腫瘤轉變為「熱」腫瘤。
科學基礎:結合免疫療法是一個領先的領域,包括 結合策略以發揮癌症免疫療法的最大效益 顯示增強的反應。檢查點抑制劑、新抗原疫苗和 CAR-T/NK 治療法,將在本書中討論。 癌症免疫治療的進展, 改善免疫識別。微生物組調節,在 癌症代謝重編與免疫反應儘管其一致性尚有爭議,但可影響免疫治療的結果。
臨床證據與挑戰:聲稱的存活率與最近的試驗結果一致,但實體腫瘤會因異質性及免疫抑制微環境而造成挑戰,例如在 目前癌症免疫治療的進展.有關復發和免疫記憶的長期資料需要進一步驗證。
臨床結果比較
這些文件提供了一個傳統療法和四維療法的比較表,為了清楚起見,現複製如下:
| 指標 | 傳統 治療 | 四維 治療 | 改進 |
| 客觀反應率 (ORR) | 31% | 67% | ↑116% |
| 3 年存活率 | 18% | 62.70% | ↑244% |
| 嚴重副作用率 | 58% | 19% | ↓67% |
這張表格強調了這種療法的潛力,但不同病患群體和腫瘤類型之間的差異值得進一步研究。
總結
四維無毒療法整合了最先進的策略來解決癌症的複雜性,每種方法都有新興研究的支持。然而,腫瘤異質性、臨床驗證和可及性等挑戰需要持續探索。建議的口號和標語旨在捕捉療法的承諾,並邀請大家進一步討論其改變癌症照護的潛力。