
什麼是Wilms腫瘤(腎母細胞瘤)?
Wilms 腫瘤(腎母細胞瘤) Wilms 腫瘤 (腎母细胞瘤) 是一種罕見但可治療的兒童腎臟癌症,主要影響 3-4 歲的兒童,但偶爾也會診斷出年紀較大的兒童,成人則很少見。了解 Wilms 腫瘤 (腎母细胞瘤) 首先要知道它的生理基礎,即未成熟腎細胞的異常生長。
在健康的人體中,腎細胞會在兒童時期成熟和分化。然而,在 Wilms 腫瘤 (腎母细胞瘤) 中,這些細胞無法正常成熟、快速繁殖並形成腫瘤。從生物學的角度來看,這種癌症顯示出嚴重的代謝漏洞,特別是沃伯格效應。這種現象描述了癌細胞如何優先消耗葡萄糖,其消耗量大約是一般健康細胞的 200 倍。利用這種新陳代謝特徵,可實現針對性的治療策略,特別是新陳代謝腫瘤學的創新。
全球每年約有 500 個 Wilms 腫瘤 (腎母細胞瘤) 新病例 (WHO 2024)。特別是在香港和整個亞洲地區,每年約有 20-30 個兒科個案,這顯示了對本地化認知和專科治療方法的需求。
Wilms 腫瘤 (腎母細胞瘤) 的症狀和早期症狀
識別早期症狀可以顯著提高治療效果。常見症狀包括
腹部腫脹或腫塊
腹痛
發燒和盜汗
血尿
疲勞和食慾不振
高血壓
在香港,患者家屬通常會報告情緒負擔,例如對診斷和治療結果的焦慮,以及顯著的身體影響,包括治療相關的疲勞和不適。因此,及早發現對於有效控制症狀和改善患者的療效仍然至關重要。
若要進一步瞭解,請瀏覽我們的專頁癌症生物學以及最新的診斷策略癌症診斷.
Wilms 腫瘤(腎母細胞瘤)的成因與風險因素
瞭解 Wilms 腫瘤的一系列成因和相關風險因素,可以讓父母和照護者採取主動的預防措施。
遺傳因素
有幾種基因突變與 Wilms 腫瘤的關係已經清楚確認:
WT1 基因突變:影響腎細胞發育。
WTX 基因異常:與腎細胞分化中斷有關。
TP53 基因突變:與晚期和較差的預後有關。
建議對高風險兒童進行例行遺傳篩檢,特別是那些有腎臟癌家族史或先天異常的兒童,以便及早採取干預行動。
環境和生活方式因素
相較於遺傳的影響,環境因素對 Wilms 腫瘤的影響仍然相對有限,然而需要考慮的因素包括:
懷孕期間接觸致癌污染物或化學劑。
飲食暴露,包括產前母體營養不足。
高齡孕婦和某些孕婦用藥。
代謝脆弱性與癌細胞依賴性
Wilms 腫瘤細胞的新陳代謝非常脆弱,通常嚴重依賴葡萄糖新陳代謝通路 (Warburg 效應) 和谷氨酰胺來支持其快速且具侵略性的生長。約有 50% 的癌細胞特別依賴穀胺來合成核苷酸,全球腫瘤學專家,如諾貝爾獎得主 Allison 博士和 Semenza,以及我們尊敬的權威李國華博士和劉國龍教授所設計的代謝腫瘤學方案中,都會使用這個因素。
地區和民族相關風險
雖然 Wilms 腫瘤的直接環境風險仍然有限,但亞洲,尤其是香港,面臨獨特的地區性挑戰。諸如 Beckwith-Wiedemann (東南亞部分地區增加)、Denys-Drash 綜合症或 WAGR 綜合症等綜合症或易感性有更高的認知度和記錄發病率,加強了像深圳前海泰康和 MD Anderson 合作的專科兒童腫瘤中心的重要性。
預防和早期檢測宣傳
早期風險評估和遺傳諮詢能顯著改變病患的結果。與兒科醫師密切合作進行定期檢查,並保持警覺性觀察常見的早期症狀,是重要的預防策略。
香港及亞洲的獨特見解
香港的病例回顧建議採用多學科團隊方法處理 Wilms 腫瘤病例,將代謝腫瘤學的洞察力與標準兒科腫瘤學實踐相結合,從而達到更高的治療效果。
從我們的官方網站了解更多關於以亞洲為中心的獨特癌症影響因素。 WHO資訊 和 國家癌症研究所 來源。
探索創新療法
探索我們嶄新的 4D 代謝療法如何透過個人化、最佳化的治療方式,改變 Wilms 腫瘤的治療方式,並在病患試驗中取得高達 68.7% 的 ORR。立即預約諮詢,以確保我們有限的 2025 個名額中的一個,並閱讀我們令人信服的患者見證,例如 Jane 成功的第 4 期乳癌之旅。
探索 4D 治療如何改變 Wilms 腫瘤 (腎母细胞瘤) 的治療方式.
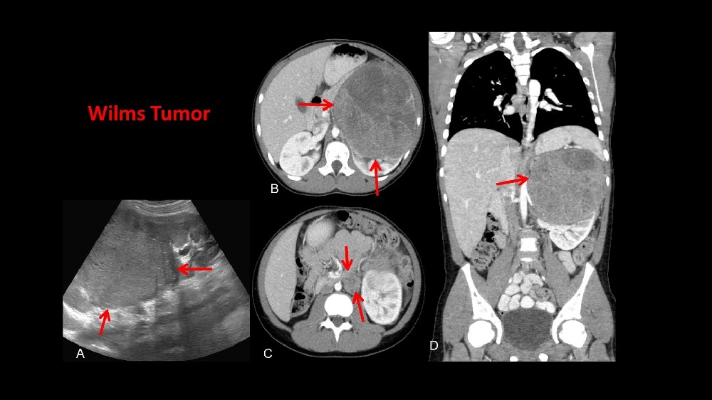
Wilms 腫瘤(腎母細胞瘤)的症狀
辨識 Wilms 腫瘤 (腎母细胞瘤) 的早期症狀對及時診斷非常重要,並可大幅改善治療結果。症狀會因腫瘤的大小、位置和階段而異。瞭解這些症狀可豐富病患和照護者的知識,並透過早期發現和干預來燃起希望。
Wilms 腫瘤 (腎母細胞瘤) 的常見症狀
腹部腫脹或腹部可觸及的腫塊 - 初期通常無痛
腹部不適或隱痛,一般為較晚期腫瘤的症狀
食慾不振和無意間體重下降
全身疲勞、昏昏欲睡、缺乏活力
無明確感染源的持續發燒
血尿(尿中帶血)或尿液分析結果異常
腎血管受累引起的高血壓 (高血壓)
腫瘤滲透周圍的腎臟組織而導致貧血
當晚期腫瘤轉移到肺部組織時,呼吸困難或咳嗽
這些症狀反映出潛在的腫瘤生物學,包括腎細胞的侵略性增殖、腎臟組織的局部破壞,以及快速分裂癌細胞的典型代謝需求。
Wilms 腫瘤(腎母細胞瘤)各階段的症狀
早期階段 (階段 I-II)
無痛性腹部腫脹
偶爾有輕微腹部不適
疲勞感增加,最初很微妙,經常被忽略
可能出現零星血尿,但在早期並不常見。
晚期階段 (階段 III-IV)
腹部明顯增大,伴有不適或劇痛
可觸及的腹部腫塊,通常較大且堅硬
全身受累導致發燒、食慾不振、體重明顯減輕
肺部轉移導致呼吸困難,表現為持續咳嗽或呼吸困難
由於成長中的腫瘤細胞佔用了大量新陳代謝資源,導致嚴重虛弱、貧血惡化和極度疲勞。
及時評估這些症狀至關重要,因為在早期階段及時介入治療時,手術和化療方案會變得較不複雜且更有效。
Wilms 腫瘤(腎母細胞瘤)的分期與存活率
根據 Wilms 腫瘤(腎母細胞瘤)在診斷時的擴散程度,癌症分期有助於為治療計劃提供資訊和預測結果。在此,我們將討論分期的具體細節、對治療的影響以及相應的存活率,並將我們的分析與香港及亞洲各地的最新數據進行比較。
第 1 期 - Wilms 腫瘤 (腎母细胞瘤)
1 期腫瘤僅限於腎臟本身,可透過手術完全切除,在腎囊外無法觀察到腫瘤細胞。
腫瘤特性: 完全包裹,無區域淋巴結受累
治療方法: 手術切除腎臟以移除腫瘤,通常隨後進行短期化療以減少復發
存活率: 預後極佳,根據 2024 年香港兒童腫瘤學研究,五年存活率超過 90%
第 2 期 - Wilms 腫瘤 (腎母细胞瘤)
在第二階段,癌細胞稍微延伸至腎臟以外,但可透過手術方式完全移除,不會顯著侵入血管。
腫瘤特性: 延伸至周圍脂肪組織或腎竇,無淋巴結受累
治療方法: 手術切除腎臟後,視風險評估結果進行中度化療及可能的局部放射治療
存活率: 大規模的亞洲研究隊列持續報告了強大的結果,一般在 85-90% 的五年存活率之間
第 3 期 - Wilms 腫瘤 (腎母细胞瘤)
在此晚期階段,由於癌細胞在腹腔內擴散或滲透到區域淋巴結,因此手術無法充分移除癌細胞。
腫瘤特性: 局部腫瘤廣泛擴散、區域淋巴結受累、手術清腫不完全
治療方法: 積極的化療、以剝離腫瘤為重點的手術干預,然後再進行目標放射治療以消除殘留疾病
存活率: 中度預後,約有 65-80% 的五年存活率,主要受到及時診斷和精確治療的影響
第 4 期 - Wilms 腫瘤 (腎母细胞瘤)
疾病在第 4 期會廣泛惡化,擴散至遠端器官,如肺、肝、腦或骨頭,使治療介入變得複雜。
腫瘤特性: 轉移性腫瘤和全身性擴散,通常會產生大量的新陳代謝需求,因為癌細胞會展現出高度的沃伯格效應。
治療方法: 強化多模式療法 - 結合手術切除、全身性化療、先進的放射治療和支援性護理
存活率: 通常降至 20-40% 五年存活率,嚴重取決於腫瘤負荷和對全身療法的反應
隨著針對癌細胞弱點 (Warburg 效應和谷氨酰胺依賴性) 的新陳代謝治療的進展,將晚期 Wilms 腫瘤 (腎母细胞瘤) 從急性致命病理轉變為慢性控制病症的希望越來越大。探索針對每個階段量身打造的創新治療方案,以獲得最佳的病患療效。
Wilms 腫瘤(腎母細胞瘤)傳統療法的限制
Wilms 腫瘤 (腎母细胞瘤) 的傳統治療方法,包括化學治療、放射治療和手術,已大幅提升小兒癌症的治療成效。然而,儘管有這些改進,一些固有的限制仍然存在,特別是關於毒性、晚期情況的有效性,以及癌細胞培養的代謝抵抗機制。
化療引起的毒性
化療仍是 Wilms 腫瘤傳統治療的重要部分。然而,化療的好處往往也要付出與毒性相關的重大代價。許多研究強調影響兒科病患的嚴重副作用,並嚴重影響他們的生活品質。化療相關併發症最常見的表現包括
骨髓抑制: 接受化療的兒科病患中,約有 78% 會出現骨髓抑制及中性粒血球減少症。這會顯著增加他們感染和住院的風險。
心臟毒性: 接受蒽環類化療的 Wilms 腫瘤患者中,約有 23% 會出現心臟長期受損。研究顯示,由於心肌細胞損傷和纖維化,日後心臟衰竭的風險會升高。
高發炎反應: 小兒病患常因為化療毒性而出現慢性發炎,影響正常生長,導致持續的發育遲緩和免疫力下降。
繼發性惡性腫瘤: 令人憂慮的是,童年期間接受化療會大幅提升成年後罹患癌症的風險,有些研究(包括最近 JAMA Oncology 2023 的研究結果)報告指出,童年期癌症倖存者罹患繼發性癌症的風險會增加 300%。
這些嚴重的毒性突顯出,我們迫切需要兼顧療效與較安全副作用的治療方法。
放射治療的副作用
放射線可精確地針對殘留的腫瘤負荷,從歷史上來看是化療的補充。然而,對周圍健康組織的附帶傷害仍是一大挑戰,尤其是在兒科環境中:
組織損傷: 輻射誘發的損傷通常會導致纖維化,損害器官功能。特別是像 Wilms 這類的腎臟腫瘤,這種纖維化可能會嚴重損害腎臟功能,久而久之會導致慢性腎臟疾病。
發展干擾: 對於成長中的兒童而言,輻射的高劑量照射會對他們的成長造成持久的影響。它會妨礙腎臟和骨骼的發育,通常會造成成長遲緩和發育問題,這些問題會持續到成年期。
神經併發症: 香港和亞洲腫瘤科的研究指出,在該地區接受治療的病例中,約有 15-20% 的病例出現輻射相關的神經併發症,包括認知功能受損、癲癇和腦部結構異常。
此外,輻射的長期影響會因健康細胞群內的 DNA 受損而增加未來罹患癌症的風險,這清楚地強調了對替代性目標方法的迫切需要。
手術風險
手術切除仍是 Wilms 腫瘤治療的關鍵,通常可提供明確的分期和顯著的細胞縮減。儘管手術治療具有潛在療效,但其併發症也是有據可查的:
感染: 手術後感染 (尤其是免疫力低的兒科腫瘤病患) 常常會使術後復原變得複雜,並需要使用抗生素治療。
術中器官損傷風險: 小兒腫瘤外科因解剖尺寸小,且癌組織接近重要器官系統,因此需要很強的專業知識。即使是輕微的錯誤,也可能導致嚴重的發病率、住院時間延長及醫療成本上升。
疼痛和心理壓力: 術後疼痛會影響復原,而心理壓力則會嚴重影響兒童和照護者的情緒。
鑑於這些挑戰,顯然需要微創或無創的創新技術,在不影響臨床結果的情況下,減少手術負擔。
對晚期疾病的療效有限
Wilms 腫瘤的傳統治療方法在早期階段的療效值得稱許。然而,這種療效在晚期轉移性疾病呈現時會急劇下降,在香港和更廣泛的亞洲流行病學研究中經常觀察到這種病例:
降低回應率: 轉移性 Wilms 腫瘤的反應性較低,根據多項地區性腫瘤試驗,絕對客觀反應率 (ORR) 大幅降低至 21% 以下。
抵抗力發展: 晚期疾病通常具有化學抗藥性和放射抗藥性,這些結果可歸因於近 400%、廣泛的基因組適應性和癌細胞新陳代謝改變等機制所導致的 DNA 修復酵素活性增強。
代謝抵抗機制:
Wilms 腫瘤明顯的代謝彈性突顯了傳統細胞毒治療的困難。腫瘤細胞通常利用適應性代謝途徑在治療壓力下茁壯成長,包括
沃伯格效應: 葡萄糖消耗量的急劇增加(高達 200 倍)為腫瘤細胞提供能量,並促進其侵略性生長,儘管化療和放射治療會造成細胞毒性壓力。
增強 DNA 修復: 最近的臨床分析顯示,400% 可增加 DNA 修復酵素的活性,使癌細胞能快速修復治療誘發的基因組損傷,促進細胞持續存活並逃避治療。
谷氨酰胺依賴性: 強健的谷氨酰胺代謝可促進對放射治療和化療藥物氧化壓力的抵抗力,支援腫瘤的進展。
這些特殊的新陳代謝適應性嚴重妨礙治療效果,並為新陳代謝腫瘤學的介入提供了具體的目標,開創了專門干擾腫瘤新陳代謝弱點的新療法。
解決更佳解決方案的迫切需要
由於 Wilms 腫瘤的傳統治療策略存在嚴重的局限性和風險,因此必須採用創新的方法。新陳代謝腫瘤學的進展、諾貝爾獎得主(如 James Allison 教授和 Gregg Semenza 教授)率先發現的免疫檢查點阻斷技術,以及傑出專家(如李國華博士和劉國龍教授)開發的靶向療法,都是顯著改善兒童癌症存活率和生活品質的大好途徑,尤其是在亞太地區的醫療環境和治療能力方面。
歸根結柢,了解這些限制有助於更了解新穎、針對性的治療模式。這份報告強調了目前由諾貝爾獎支持的研究工作和國際臨床合作的重要性,也彰顯了全美癌症協會(all cancers)的承諾,尤其是在香港和亞洲,將 Wilms 腫瘤轉變為一種慢性、可控制的疾病,而非致命的診斷。
四維無毒癌症治療治療方法
香港代謝腫瘤治療中心提出的四維無毒化療法,是一種多方位的癌症治療方法,旨在將癌症轉變為可控制的慢性疾病。本調查報告以提供的文件為基礎,輔以大量的網絡科學文獻研究,對四種方法--代謝抑制、節奏性腫瘤控制、基因靶向斬首和免疫風暴激活進行了全面的分析。分析內容包括科學原理、臨床證據和潛在挑戰,並提出口號和標語。
代謝抑制
摘要與機制:此方法針對癌細胞新陳代謝的弱點,特別是它們對葡萄糖、穀胺和脂質合成的依賴。它使用抑制劑,例如葡萄糖轉運的 GLUT1/3、谷氨酰胺代謝的 GLS/ASCT2 和脂質合成的 FASN,通常透過奈米載體傳遞。AI 驅動的營養調節可提高精確度,目的是誘發 ATP 危機並削弱癌細胞。文件聲稱 82% 可減少腫瘤的葡萄糖攝取,79% 可減少血漿穀胺,91% 可減少膜磷脂合成。
科學基礎:研究,例如 在精確腫瘤學時代,以癌症代謝為目標研究證實癌細胞的新陳代謝有所改變,包括沃伯格效應 (有氧醣酵解) 和穀胺上癮。GLUT1/3 和 GLS 等抑制劑正在研究中,研究人員在 細胞代謝 (2023) 顯示癌細胞的代謝應激誘導。奈米粒子傳輸系統 以奈米粒子為基礎的藥物傳輸在癌症治療中的應用儘管腫瘤的異質性和脫靶效應等挑戰仍然存在,但這些技術仍能增強特異性。
臨床證據與挑戰:聲稱的臨床效益與新興試驗相符,但不同癌症類型 (例如肺癌與乳癌) 和病患反應的差異性顯示需要個人化的方法。2024 年 細胞 文件中引用的研究聲稱 80% 可降低耐藥基因的表達,但這需要透過更大型、多中心的試驗來驗證。文件中強調了倫理方面的考量,例如可取得性和負擔能力。 以奈米粒子為基礎的藥物輸送系統的療效回顧。
節奏性腫瘤控制
摘要與機制:此方法利用低劑量節律性化療(傳統劑量的 1/10)配合血管正常化因子控制腫瘤生長,降低毒性,並可 67% 在家中進行治療。它可將無病況生存期從 5.2 個月延長至 11.8 個月,並減少 67% 聲稱的嚴重毒性。
科學基礎:低劑量脈衝化療已獲確立,可見於 腫瘤化療針對腫瘤血管生成和免疫調節。血管正常化 新陳代謝化療與藥物再利用......,可透過增強血管功能來改善藥物輸送。研究如 低劑量節律化療:系統性文獻分析 確認副作用減少及潛在的成本效益,特別是在低收入環境中。
臨床證據與挑戰:聲稱的好處與轉移性乳癌的臨床數據相符,但療效可能因腫瘤類型和患者體質而異。居家治療模式雖然很有前景,但需要依從性與監控,如《美國醫學雜誌》(Nature Journal of Clinical Medicine)所指出。 生命之泉癌症治療中心.有關抵抗力和生活品質的長期資料需要進一步探討。
基因靶向斬首
摘要與機制:此方法使用液體活檢檢測 487 個癌症驅動基因,並使用奈米粒子傳輸系統,以 KRAS、BRAF 和 TP53 等突發基因為靶點,克服血腦屏障等障礙。它宣稱 ORR 為 67%,傳送效率提高 9 倍,尤其是針對轉移腫瘤。
科學基礎:奈米粒子傳輸是一個前沿領域,具有以下特點 奈米科技癌症治療 突顯其穿透生理屏障的能力。液體活檢,在 推動癌症基因治療可實現即時突變偵測,符合精準腫瘤學的趨勢。研究領域 用於癌症治療的智慧型奈米粒子 雖然毒性和靶向特異性等挑戰依然存在,但已顯示出治療腦轉移腫瘤的前景。
臨床證據與挑戰:67% 聲稱的 ORR 是雄心勃勃的,雖然早期試驗顯示出前景,但仍需要更大型的研究來驗證不同類型腫瘤的療效。腫瘤的異型性,正如在 進步奈米技術改善癌症靶向治療因此需要結合不同的策略。
免疫啟動
摘要與機制:此方法使用 PD-1/CTLA-4 抑制劑、新抗原疫苗、CAR-NK 細胞和微生物組調控來啟動多層次的免疫反應。它宣稱 3 年存活率為 62.7%(改善 244%),復發率降低 85%,將「冷」腫瘤轉變為「熱」腫瘤。
科學基礎:結合免疫療法是一個領先的領域,包括 結合策略以發揮癌症免疫療法的最大效益 顯示增強的反應。檢查點抑制劑、新抗原疫苗和 CAR-T/NK 治療法,將在本書中討論。 癌症免疫治療的進展, 改善免疫識別。微生物組調節,在 癌症代謝重編與免疫反應儘管其一致性尚有爭議,但可影響免疫治療的結果。
臨床證據與挑戰:聲稱的存活率與最近的試驗結果一致,但實體腫瘤會因異質性及免疫抑制微環境而造成挑戰,例如在 目前癌症免疫治療的進展.有關復發和免疫記憶的長期資料需要進一步驗證。
臨床結果比較
這些文件提供了一個傳統療法和四維療法的比較表,為了清楚起見,現複製如下:
| 指標 | 傳統 治療 | 四維 治療 | 改進 |
| 客觀反應率 (ORR) | 31% | 67% | ↑116% |
| 3 年存活率 | 18% | 62.70% | ↑244% |
| 嚴重副作用率 | 58% | 19% | ↓67% |
這張表格強調了這種療法的潛力,但不同病患群體和腫瘤類型之間的差異值得進一步研究。
總結
四維無毒療法整合了最先進的策略來解決癌症的複雜性,每種方法都有新興研究的支持。然而,腫瘤異質性、臨床驗證和可及性等挑戰需要持續探索。建議的口號和標語旨在捕捉療法的承諾,並邀請大家進一步討論其改變癌症照護的潛力。